「あなたの健康な笑顔を守る、やまのうち歯科医院」
やまのうち歯科医院
ホーム
医院紹介
設備紹介
初診案内
診療案内
スタッフ紹介
アクセス
電話予約
WEB予約
症例紹介
ホーム
症例紹介
矯正歯科
部分矯正
2026年01月16日
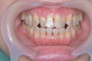
歯並びが気になる 20代 男性 部分矯正
詳細を見る
ホワイトニング
審美・補綴歯科
2026年01月13日
歯の色が気になる 40代 男性 ホワイトニング 症例
詳細を見る
ホワイトニング
審美・補綴歯科
2026年01月05日
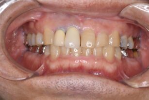
右前歯の被せ物が気になる 40代 男性 ジルコニアポーセレンの症例
詳細を見る
審美・補綴歯科
2025年12月26日
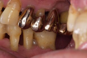
金属が気になる 30代 女性 セラミックインレーの症例
詳細を見る
審美・補綴歯科
2025年12月22日
上の前歯の色が気になる 50代 女性 ジルコニアの症例
詳細を見る
ラミネートべニア
2025年12月15日
前歯の色が気になる 40代 男性 ラミネートべニア、レジン修復の症例
詳細を見る
インプラント治療
2025年12月08日
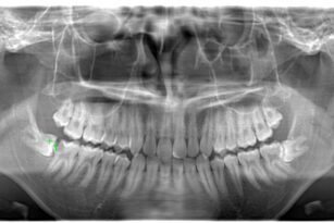
奥歯がない 50代 女性 インプラント治療の症例
詳細を見る
審美・補綴歯科
2025年12月05日
前歯の色が気になる 20代 女性 ジルコニアクラウンの症例
詳細を見る
矯正歯科
2025年12月02日
下の歯並びが気になる 30代 男性 部分矯正
詳細を見る
1
2
3
...
カテゴリから探す
すべて
やまのうち歯科医院
インプラント治療
ホワイトニング
ラミネートべニア
一般治療
入れ歯
口膣外科
宇都宮
審美・補綴歯科
歯医者
歯周病
歯牙移植
歯肉移植
歯肉退縮
矯正歯科
部分矯正
やまのうち歯科医院
〒321-0156
栃木県宇都宮市兵庫塚町9-1
プレステージみどり野1F
028-612-8660
診療時間
月
火
水
木
金
土
日
祝
9:00 - 12:00
●
●
●
/
●
●
/
/
14:00 - 19:00
●
●
●
/
●
▲
/
/
【休診日】木曜、日曜、祝日
※祝日の週の木曜日は診療
▲
= 14:00 - 17:00
アクセス
安塚街道のヨークベニマル、しまむらが目印
JR雀宮駅・東武西川田駅よりバス
みやバス系統さつき団地 雀宮駅~さつき団地~西川田駅東口
「みどりの一丁目北」下車 徒歩1分
駐車場:8台
初診の方
WEB予約
電話予約
価格表