「あなたの健康な笑顔を守る、やまのうち歯科医院」
やまのうち歯科医院
ホーム
医院紹介
設備紹介
初診案内
診療案内
スタッフ紹介
アクセス
電話予約
WEB予約
症例紹介
ホーム
症例紹介
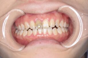
歯の色が気になる 40代 女性 ラミネートべニア
歯の色が気になる 40代 女性 ラミネートべニア
Before
After
年齢
40代
性別
女性
通院目的
歯の色が気になる
診断
不良修復物・歯牙変色
処置内容
ラミネートべニア
通院回数
3回
期間
1カ月
費用
治療費用
55000円
リスク・副作用
最小限といえど歯を削る必要があります。
その際歯がしみることがあります。
歯ぎしりや食いしばりが強い方は、脱離や破折になりやすくなります。
Prev
一覧へ戻る
Next
関連記事
審美・補綴歯科
2026年01月26日
左下奥歯の被せ物が取れた 40代 女性 ジルコニアブリッジの症例
詳細を見る
ホワイトニング
審美・補綴歯科
2026年01月13日
歯の色が気になる 40代 男性 ホワイトニング 症例
詳細を見る
ホワイトニング
審美・補綴歯科
2026年01月05日
右前歯の被せ物が気になる 40代 男性 ジルコニアポーセレンの症例
詳細を見る
カテゴリから探す
すべて
やまのうち歯科医院
インプラント治療
ホワイトニング
ラミネートべニア
一般治療
入れ歯
口膣外科
宇都宮
審美・補綴歯科
歯医者
歯周病
歯牙移植
歯肉移植
歯肉退縮
矯正歯科
部分矯正
やまのうち歯科医院
〒321-0156
栃木県宇都宮市兵庫塚町9-1
プレステージみどり野1F
028-612-8660
診療時間
月
火
水
木
金
土
日
祝
9:00 - 12:00
●
●
●
/
●
●
/
/
14:00 - 19:00
●
●
●
/
●
▲
/
/
【休診日】木曜、日曜、祝日
※祝日の週の木曜日は診療
▲
= 14:00 - 17:00
アクセス
安塚街道のヨークベニマル、しまむらが目印
JR雀宮駅・東武西川田駅よりバス
みやバス系統さつき団地 雀宮駅~さつき団地~西川田駅東口
「みどりの一丁目北」下車 徒歩1分
駐車場:8台
初診の方
WEB予約
電話予約
価格表