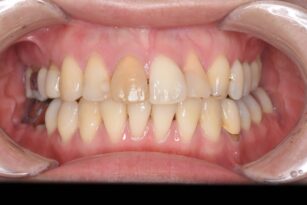
歯の色が気になる 50代 女性 ホワイトニング治療 ホームホワイトニング

Before

After
| 年齢 | 50代 | ||
|---|---|---|---|
| 性別 | 女性 | ||
| 通院目的 | 歯の色が気になる | ||
| 診断 | 歯の変色 | ||
| 通院回数 | 2回 | ||
| 費用 |
|
||
| リスク・副作用 |
|
関連記事
ホワイトニング
2025年09月10日
歯の色が気になる 40代 女性 ホワイトニング治療 オフィスホワイトニング
加齢による変化 食生活・嗜好品による着色 歯肉・粘膜の保護 薬剤の塗布 光照射(機械によってはなしの場合も) 薬剤の除去...
