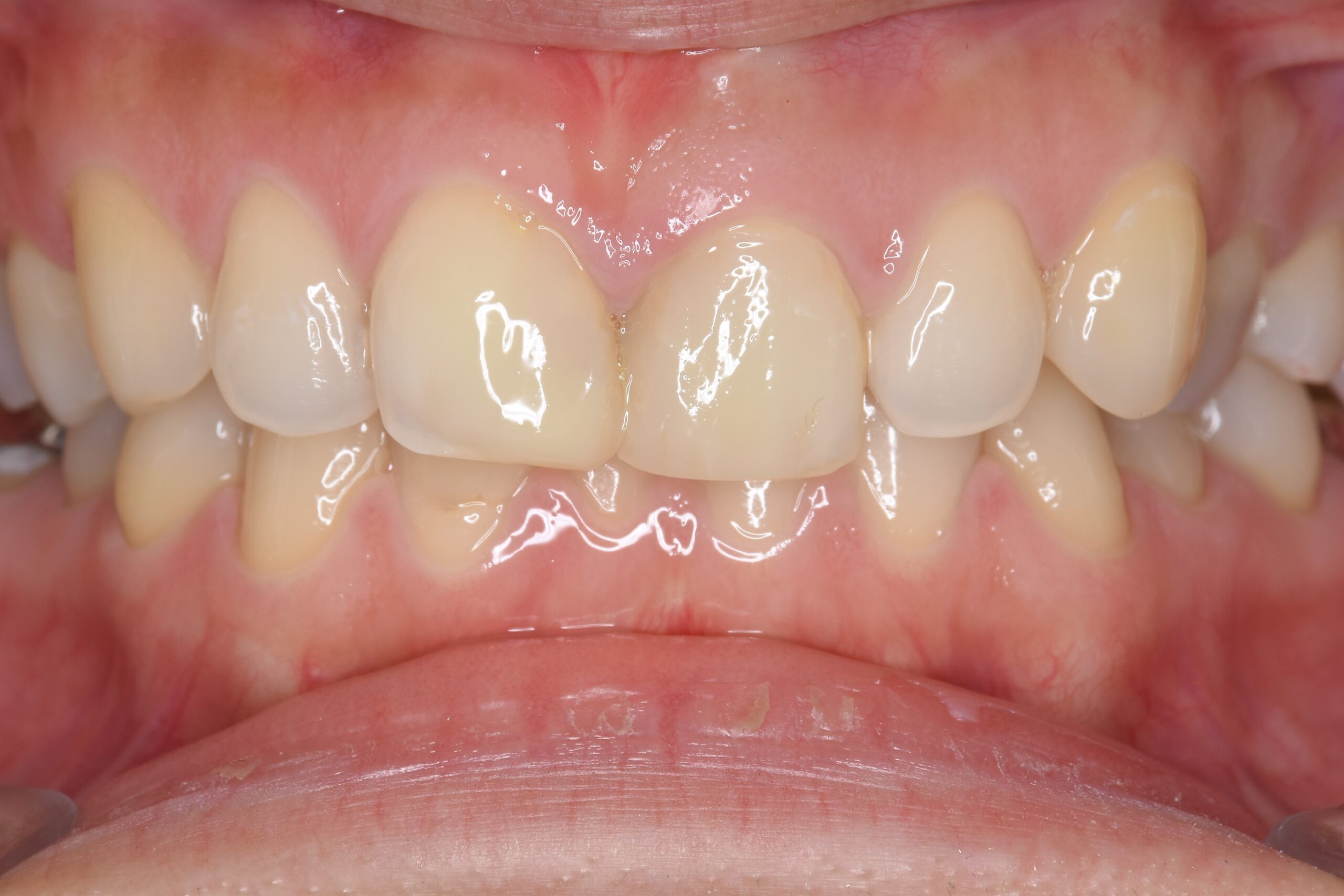
上の前歯の色と形が気になる 20代 女性 レジン治療

Before

After
| 年齢 | 20代 | ||
|---|---|---|---|
| 性別 | 女性 | ||
| 通院目的 | 歯の色と形が気になる | ||
| 診断 | 歯の変色、歯列不正 | ||
| 処置内容 | レジン修復 | ||
| 通院回数 | 1回 | ||
| 費用 |
|
関連記事
やまのうち歯科医院
一般治療
宇都宮
審美・補綴歯科
歯医者
歯周病
2026年05月02日
歯茎が下がっているのが気になる 30代 女性 歯肉移植
根の先を超えて退縮しているため、歯肉の厚みを作り形態修正を行うことを考慮に入れて治療しています。
