右前歯の被せ物が気になる 40代 男性 ジルコニアポーセレンの症例

0000003578_杉田 智_Camera_20211108114737
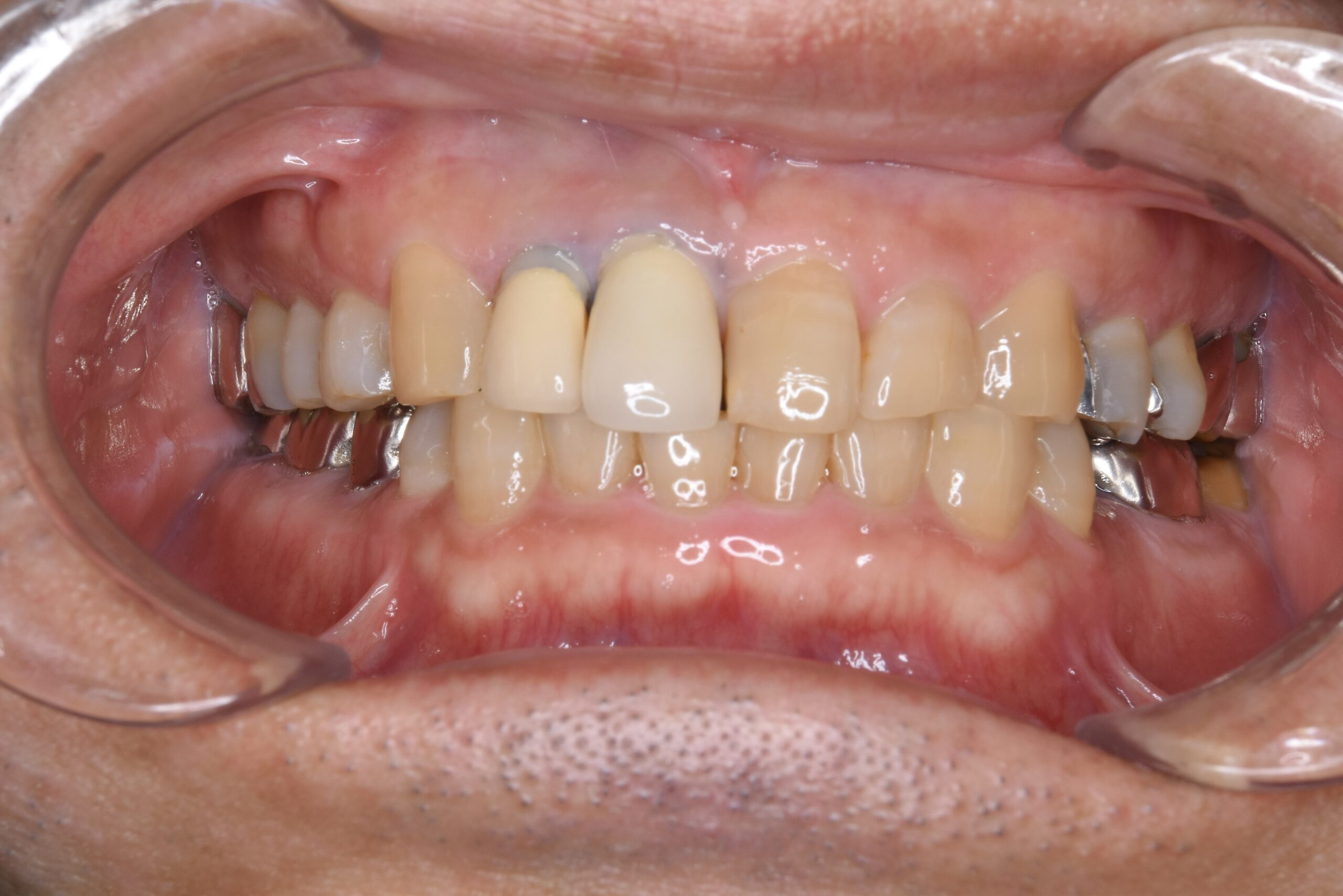
Before
ジルコニア
After
年齢 40代
性別 男性
通院目的 前歯の治療
診断 不良補綴物
処置内容 ジルコニアクラウン
通院回数 3回
費用
治療費用 ジルコニアクラウン1歯:11万円(税込み)
2歯 
計 22万円
リスク・副作用
歯ぎしり食いしばりが強い方は、割れる可能性があります。状態によりマウスピースを使用してもらうこともあります。

やまのうち歯科医院

  • 〒321-0156
    栃木県宇都宮市兵庫塚町9-1
    プレステージみどり野1F
  • 028-612-8660
診療時間
9:00 - 12:00
14:00 - 19:00
【休診日】木曜、日曜、祝日
※祝日の週の木曜日は診療
= 14:00 - 17:00

アクセス

  • 安塚街道のヨークベニマル、しまむらが目印
  • JR雀宮駅・東武西川田駅よりバス
    みやバス系統さつき団地 雀宮駅~さつき団地~西川田駅東口
    「みどりの一丁目北」下車 徒歩1分
  • 駐車場:8台
初診の方 初診の方
WEB予約 WEB予約
電話予約 電話予約
価格表 価格表