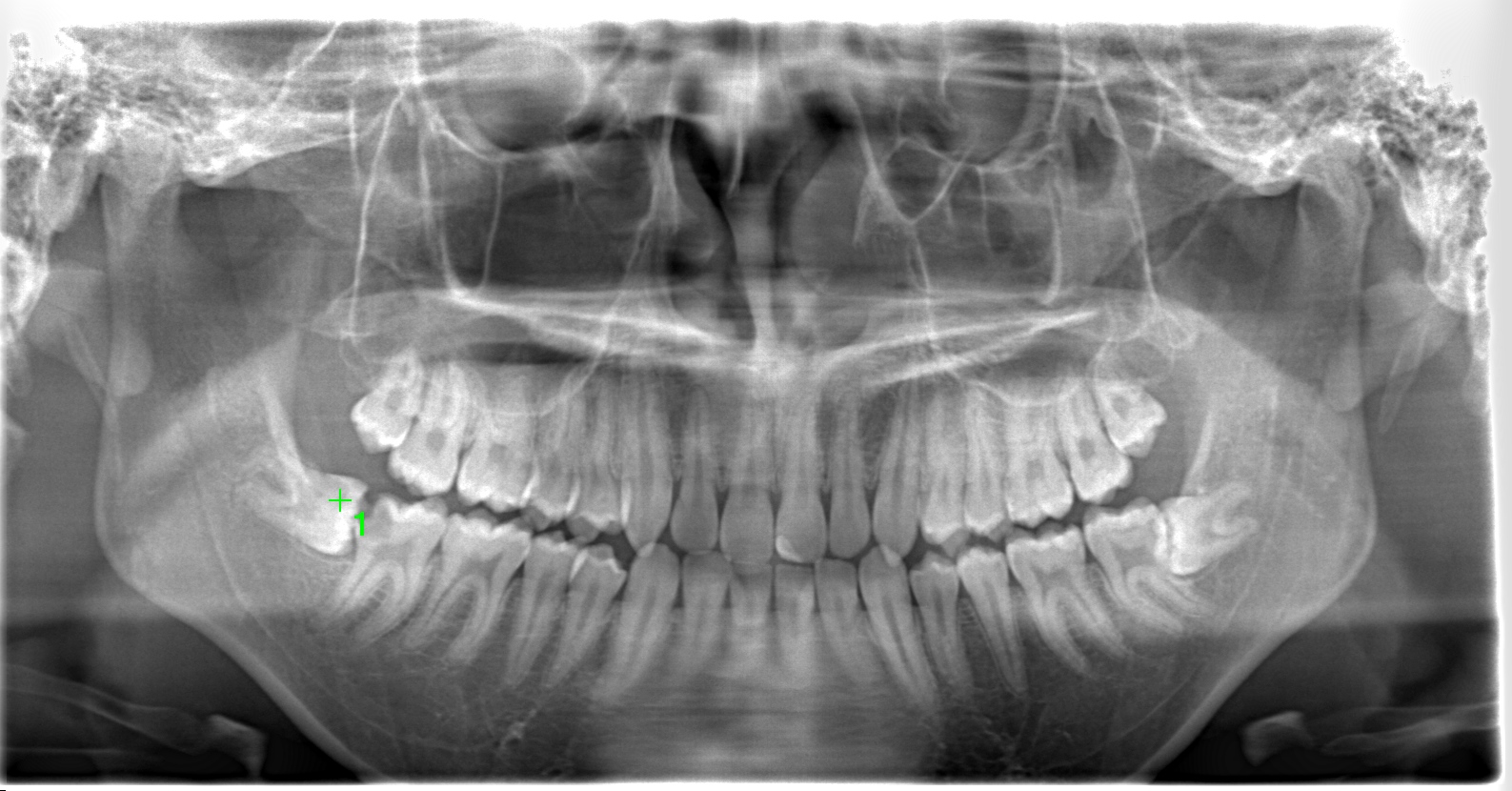
左下奥歯が腫れた 20代 男性 親知らずの抜歯

Before

After
| 年齢 | 20代 | ||
|---|---|---|---|
| 性別 | 男性 | ||
| 通院目的 | 右下の虫歯と親知らずの腫れ | ||
| 診断 | 虫歯と親知らずの炎症 | ||
| 処置内容 (または主訴) |
親知らずが腫れている | ||
| 通院期間・回数 | 1週間・3回 | ||
| 費用 |
|
||
| リスク・副作用 |
|


| 年齢 | 20代 | ||
|---|---|---|---|
| 性別 | 男性 | ||
| 通院目的 | 右下の虫歯と親知らずの腫れ | ||
| 診断 | 虫歯と親知らずの炎症 | ||
| 処置内容 (または主訴) |
親知らずが腫れている | ||
| 通院期間・回数 | 1週間・3回 | ||
| 費用 |
|
||
| リスク・副作用 |
|