「あなたの健康な笑顔を守る、やまのうち歯科医院」
やまのうち歯科医院
ホーム
医院紹介
設備紹介
初診案内
診療案内
スタッフ紹介
アクセス
電話予約
WEB予約
症例紹介
ホーム
症例紹介
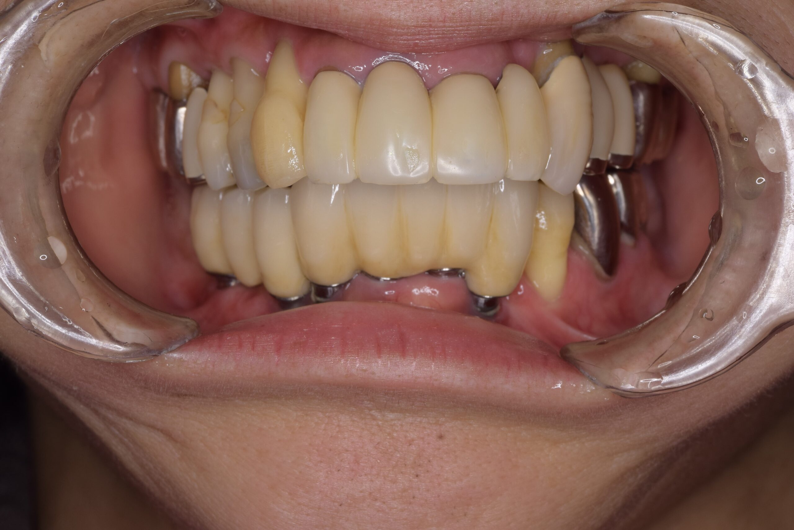
歯がぐらぐらする 50代 女性 インプラント治療
歯がぐらぐらする 50代 女性 インプラント治療
Before
After
年齢
50代
性別
女性
通院目的
歯がぐらぐらするので治してほしい
診断
歯周病
処置内容
歯周治療・インプラント治療
通院回数
22回・12カ月
費用
治療費用
1本あたり
インプラント埋入、CT、骨造成込み10万
アバット(土台)5万
上部構造物(被せ物)18万
インプラント 7本
計 231万(税込み)
令和6年時
リスク・副作用
顎の骨の状態により、理想的な位置に埋入できないことがあります。埋入後、痛みや腫れ出血が出ることがあります。骨と付くまで期間がかかります。長期間維持するには、ホームケアと歯科医院で行う定期的なプロフェッショナルケアが必要になります。自由診療になるため、治療費が高額になる傾向があります。
Prev
一覧へ戻る
Next
関連記事
インプラント治療
2025年12月08日
奥歯がない 50代 女性 インプラント治療の症例
詳細を見る
インプラント治療
2025年11月17日
左下の奥歯がない 60代 男性 インプラント治療
詳細を見る
インプラント治療
2025年11月04日
歯がぐらぐらする 50代 女性 インプラント治療
詳細を見る
カテゴリから探す
すべて
やまのうち歯科医院
インプラント治療
ホワイトニング
ラミネートべニア
一般治療
入れ歯
口膣外科
宇都宮
審美・補綴歯科
歯医者
歯周病
歯牙移植
歯肉移植
歯肉退縮
矯正歯科
部分矯正
やまのうち歯科医院
〒321-0156
栃木県宇都宮市兵庫塚町9-1
プレステージみどり野1F
028-612-8660
診療時間
月
火
水
木
金
土
日
祝
9:00 - 12:00
●
●
●
/
●
●
/
/
14:00 - 19:00
●
●
●
/
●
▲
/
/
【休診日】木曜、日曜、祝日
※祝日の週の木曜日は診療
▲
= 14:00 - 17:00
アクセス
安塚街道のヨークベニマル、しまむらが目印
JR雀宮駅・東武西川田駅よりバス
みやバス系統さつき団地 雀宮駅~さつき団地~西川田駅東口
「みどりの一丁目北」下車 徒歩1分
駐車場:8台
初診の方
WEB予約
電話予約
価格表