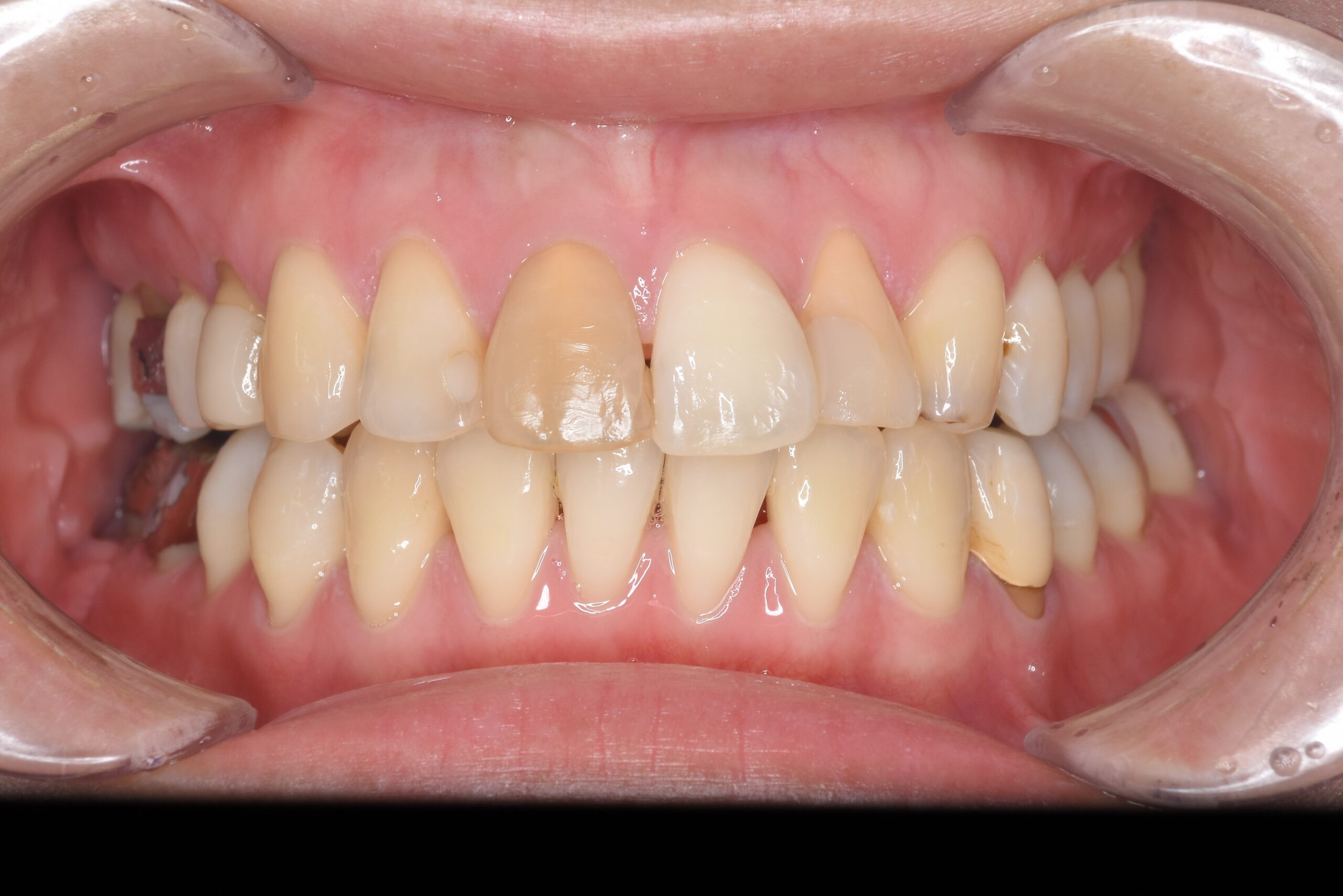
歯の色が気になる 30代 女性 ホワイトニングの症例

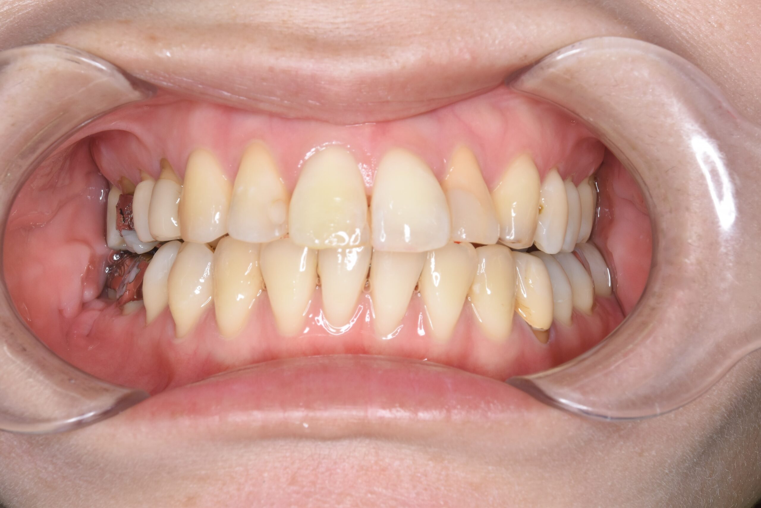
ホワイトニング
Before
ホワイトニング
After
年齢 30代
性別 女性
通院目的 歯の色が気になる
診断 歯の変色
処置内容 ホワイトニング
通院回数 4回
費用
治療費用 ホワイトニング ウォーキングブリーチ法 4回
1回目 5500円
2回目以降 1100円
計 8800円
リスク・副作用
歯は白くなりますが、思った色になるわけではありません。治療中痛みが出ることがあります。長期間維持するには、ホームケアと歯科医院で行う定期的なプロフェッショナルケアが必要になります。しばらくすると経時的変化により再度色が変化することがあります。被せ物は変わりません。

やまのうち歯科医院

  • 〒321-0156
    栃木県宇都宮市兵庫塚町9-1
    プレステージみどり野1F
  • 028-612-8660
診療時間
9:00 - 12:00
14:00 - 19:00
【休診日】木曜、日曜、祝日
※祝日の週の木曜日は診療
= 14:00 - 17:00

アクセス

  • 安塚街道のヨークベニマル、しまむらが目印
  • JR雀宮駅・東武西川田駅よりバス
    みやバス系統さつき団地 雀宮駅~さつき団地~西川田駅東口
    「みどりの一丁目北」下車 徒歩1分
  • 駐車場:8台
初診の方 初診の方
WEB予約 WEB予約
電話予約 電話予約
価格表 価格表