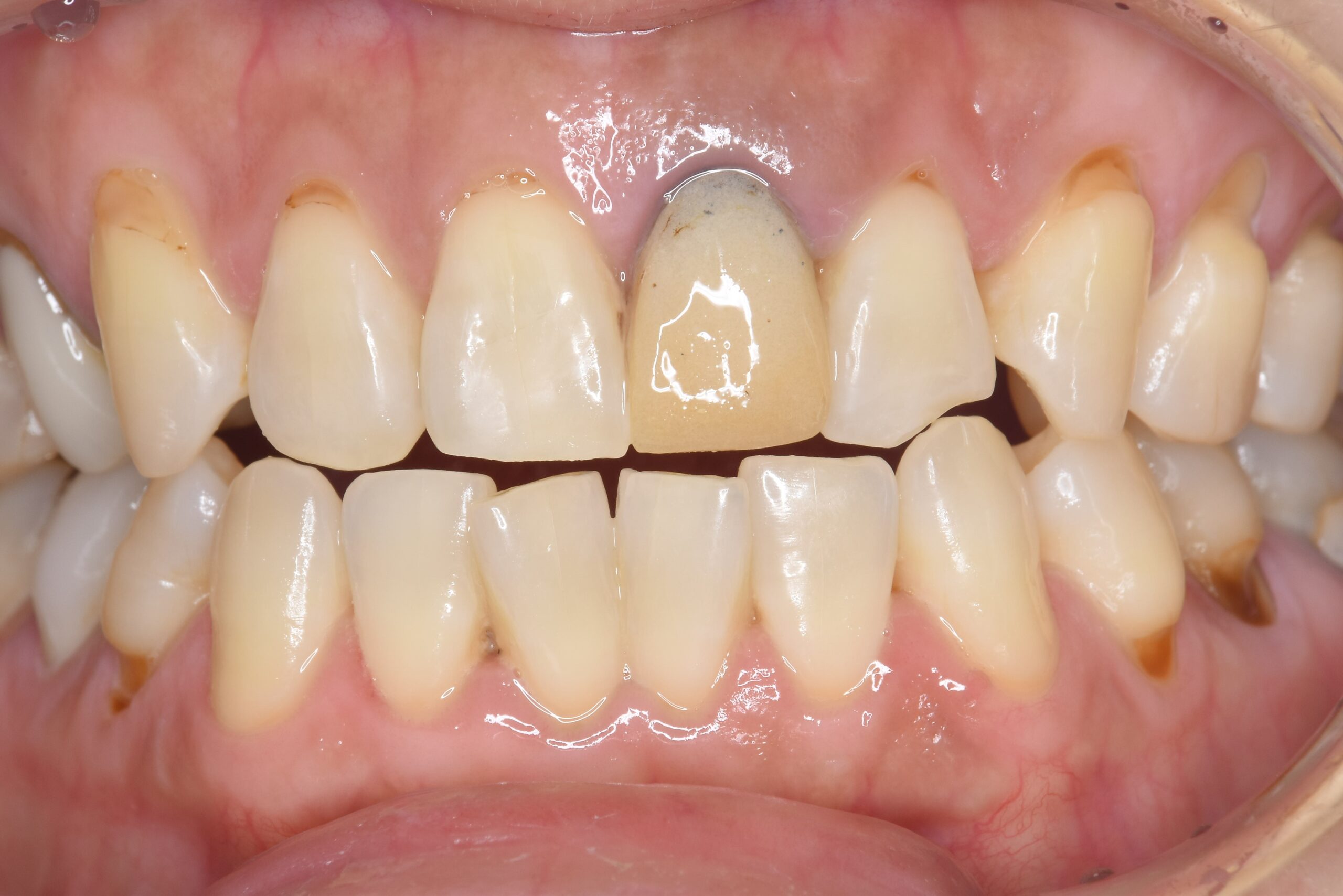
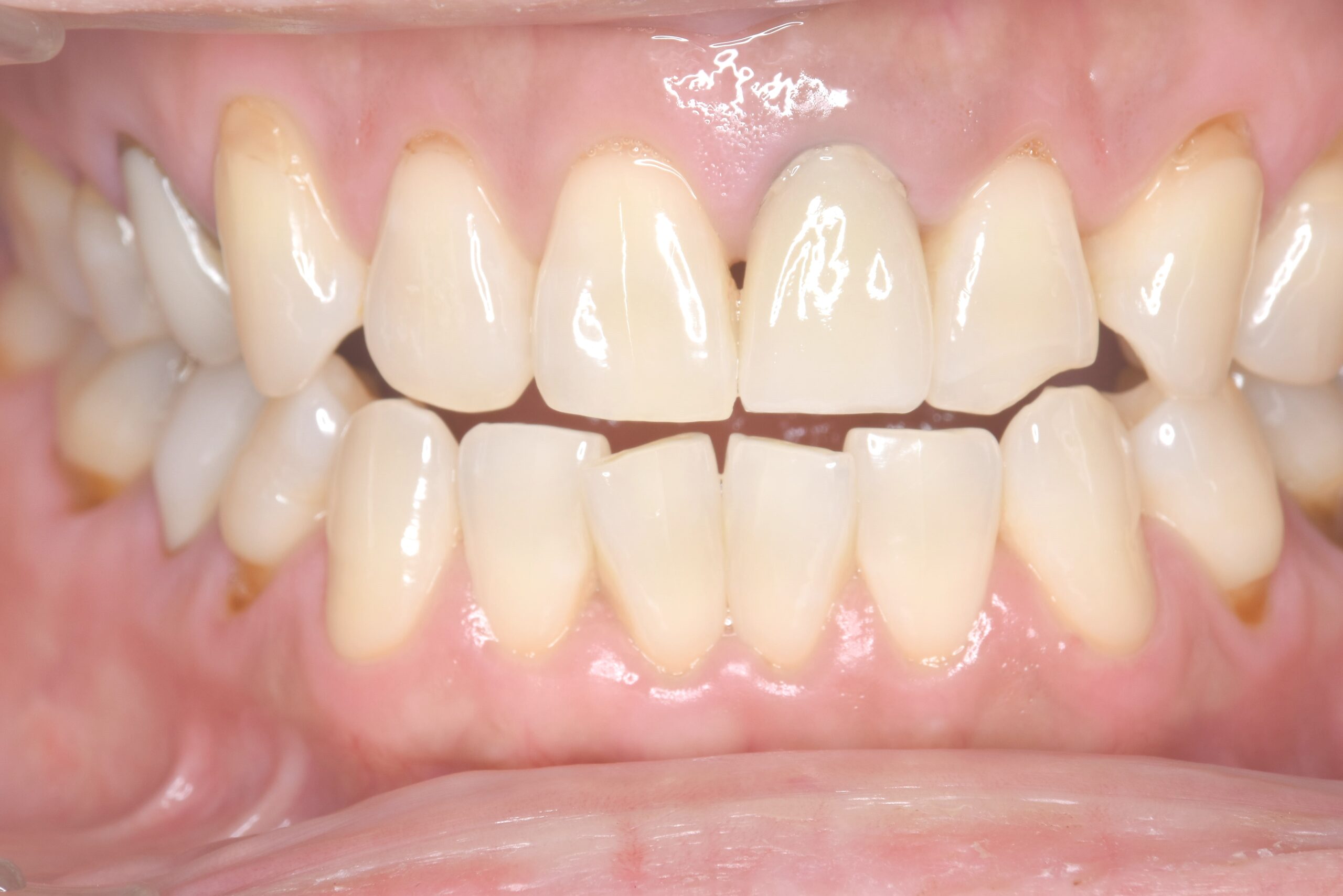
歯の色が気になる 30代 女性 ホワイトニングと被せ物の症例

Before

After
| 年齢 | 30代 | ||
|---|---|---|---|
| 性別 | 女性 | ||
| 通院目的 | 歯の色が気になる | ||
| 診断 | 歯の変色 被せ物の不適合 | ||
| 処置内容 | ホワイトニング ジルコニア | ||
| 通院回数 | 4回 | ||
| 費用 |
|
||
| リスク・副作用 |
|
関連記事
やまのうち歯科医院
一般治療
宇都宮
審美・補綴歯科
歯医者
歯周病
2026年05月02日
歯茎が下がっているのが気になる 30代 女性 歯肉移植
根の先を超えて退縮しているため、歯肉の厚みを作り形態修正を行うことを考慮に入れて治療しています。
