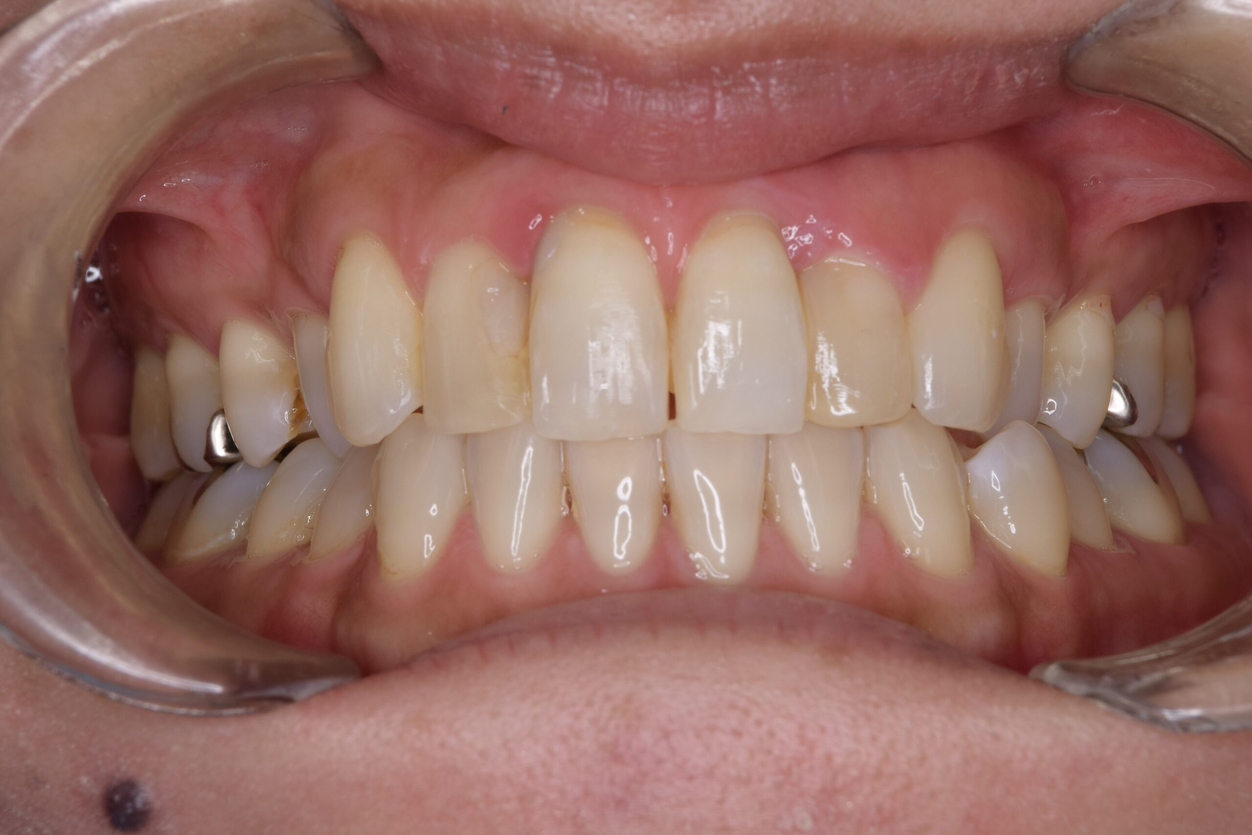
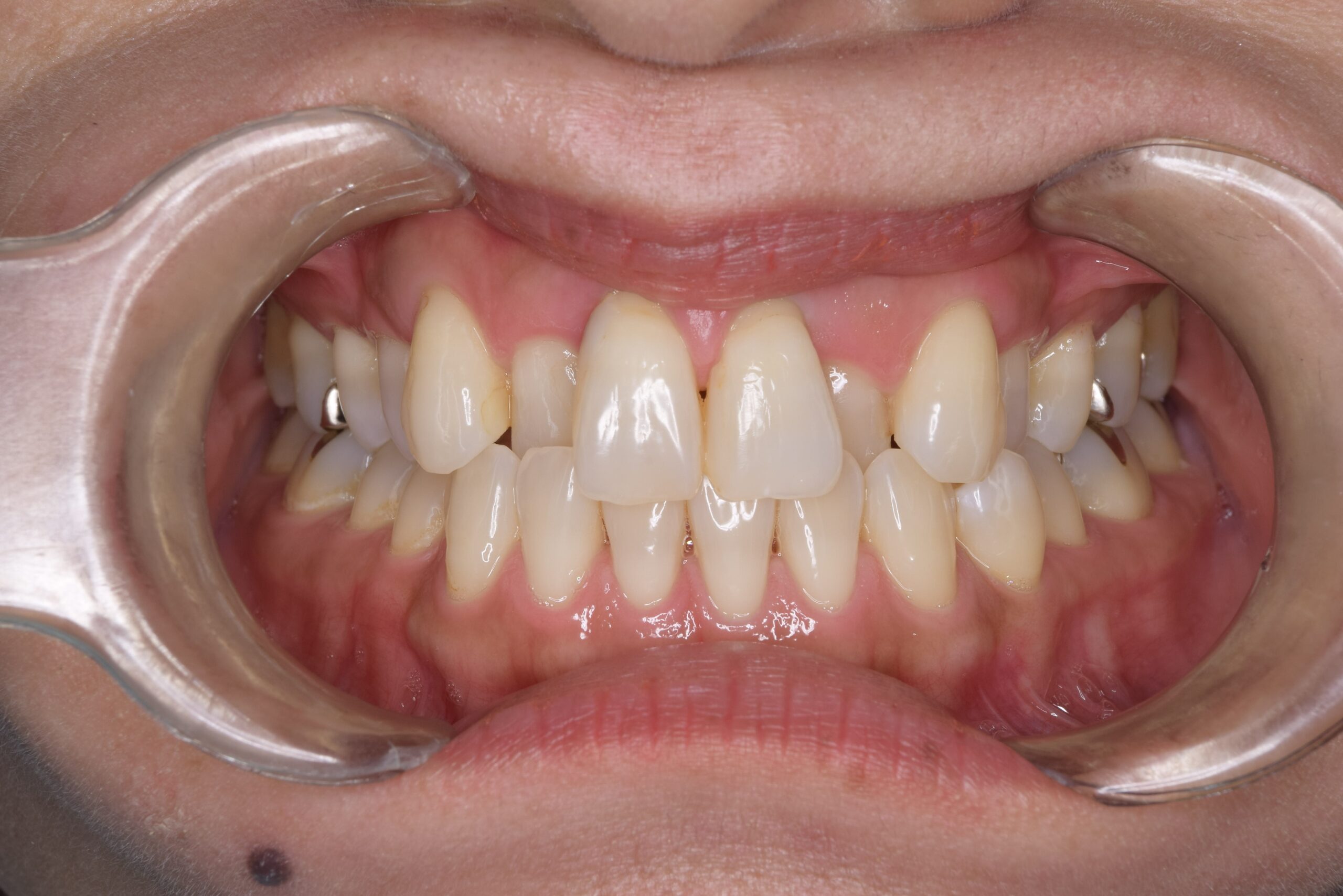
歯並びが気になる 40代 女性 部分矯正

case11-b
Before
case11-a
After
年齢 40代
性別 女性
通院目的 歯並びと歯周病
診断 歯列不正 歯周病
処置内容 部分矯正 歯周治療
通院回数 12回 14回
期間 6カ月 6カ月
費用
治療費用 部分矯正 14万5500円
歯周治療 2万程度(保険治療)
リスク・副作用
治療中歯を動かすので、痛みを生じることがあります。
磨きにくいので、気を付けて磨かないと虫歯や歯周病になります。

やまのうち歯科医院

  • 〒321-0156
    栃木県宇都宮市兵庫塚町9-1
    プレステージみどり野1F
  • 028-612-8660
診療時間
9:00 - 12:00
14:00 - 19:00
【休診日】木曜、日曜、祝日
※祝日の週の木曜日は診療
= 14:00 - 17:00

アクセス

  • 安塚街道のヨークベニマル、しまむらが目印
  • JR雀宮駅・東武西川田駅よりバス
    みやバス系統さつき団地 雀宮駅~さつき団地~西川田駅東口
    「みどりの一丁目北」下車 徒歩1分
  • 駐車場:8台
初診の方 初診の方
WEB予約 WEB予約
電話予約 電話予約
価格表 価格表