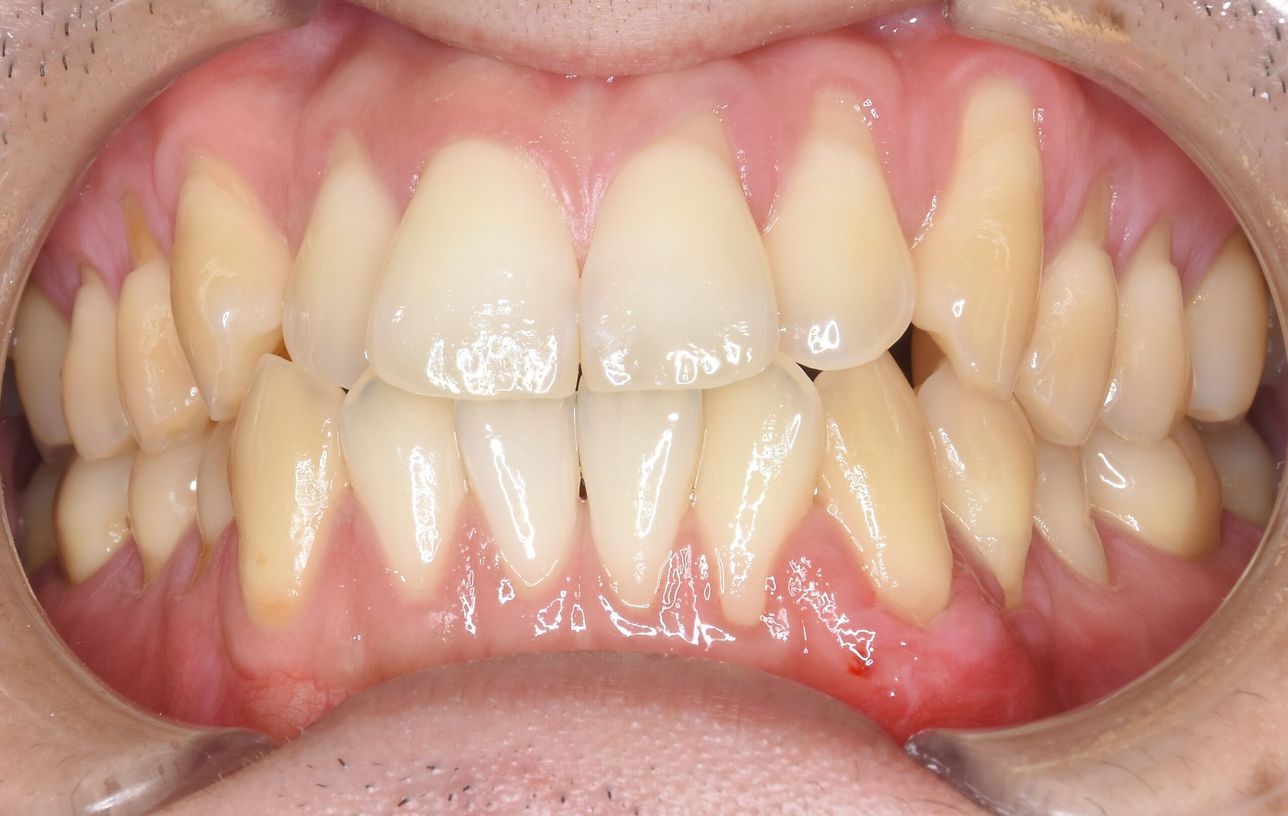
歯肉が下がった 20代 男性 歯肉移植

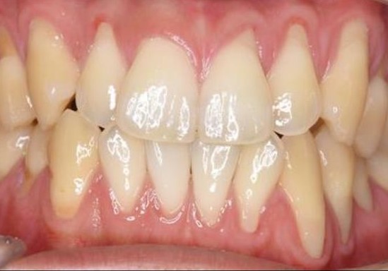
case4-b
Before
case4-a
After
年齢 20代
性別 男性
通院目的 歯肉の下がり
診断 歯周病 歯肉退縮
処置内容
(または主訴)
歯周治療 歯肉移植
通院回数 10回
費用
治療費用 保険治療なので1万くらいです。
治療部位や内容により自費治療になる場合があります。
リスク・副作用
治療後痛みや腫れが生じることがあります。
術後、激しい運動や治療部位の歯ブラシは禁止になります。
周囲の歯周病の進行状態や歯種によって回復度や成功率が変わります。
また、進行状態により複数回行う場合があります。

やまのうち歯科医院

  • 〒321-0156
    栃木県宇都宮市兵庫塚町9-1
    プレステージみどり野1F
  • 028-612-8660
診療時間
9:00 - 12:00
14:00 - 19:00
【休診日】木曜、日曜、祝日
※祝日の週の木曜日は診療
= 14:00 - 17:00

アクセス

  • 安塚街道のヨークベニマル、しまむらが目印
  • JR雀宮駅・東武西川田駅よりバス
    みやバス系統さつき団地 雀宮駅~さつき団地~西川田駅東口
    「みどりの一丁目北」下車 徒歩1分
  • 駐車場:8台
初診の方 初診の方
WEB予約 WEB予約
電話予約 電話予約
価格表 価格表