「あなたの健康な笑顔を守る、やまのうち歯科医院」
やまのうち歯科医院
ホーム
医院紹介
設備紹介
初診案内
診療案内
スタッフ紹介
アクセス
電話予約
WEB予約
症例紹介
ホーム
症例紹介
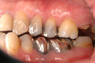
被せ物が取れた 40代 男性 歯牙移植
被せ物が取れた 40代 男性 歯牙移植
Before
After
年齢
40代
性別
男性
通院目的
奥歯の治療
診断
虫歯、歯牙破折
処置内容
(または主訴)
歯牙移植
通院回数
8回
費用
治療費用
保険治療なので5000円くらいです。
治療部位や内容により自費治療になる場合があります。
リスク・副作用
治療後痛みや腫れが生じることがあります。
術後、激しい運動や治療部位の歯ブラシは禁止になります。
周囲の歯周病の進行状態や歯種によって回復度や成功率が変わります。
Prev
一覧へ戻る
Next
関連記事
一般治療
歯周病
歯牙移植
2025年10月14日
歯が割れた 20代 男性 歯牙移植
詳細を見る
歯牙移植
2025年09月10日
被せ物が取れた 50代 女性 歯牙移植
詳細を見る
歯牙移植
2025年04月14日
被せ物が取れた 40代 女性 歯牙移植
詳細を見る
カテゴリから探す
すべて
やまのうち歯科医院
インプラント治療
ホワイトニング
ラミネートべニア
一般治療
入れ歯
口膣外科
宇都宮
審美・補綴歯科
歯医者
歯周病
歯牙移植
歯肉移植
歯肉退縮
矯正歯科
部分矯正
やまのうち歯科医院
〒321-0156
栃木県宇都宮市兵庫塚町9-1
プレステージみどり野1F
028-612-8660
診療時間
月
火
水
木
金
土
日
祝
9:00 - 12:00
●
●
●
/
●
●
/
/
14:00 - 19:00
●
●
●
/
●
▲
/
/
【休診日】木曜、日曜、祝日
※祝日の週の木曜日は診療
▲
= 14:00 - 17:00
アクセス
安塚街道のヨークベニマル、しまむらが目印
JR雀宮駅・東武西川田駅よりバス
みやバス系統さつき団地 雀宮駅~さつき団地~西川田駅東口
「みどりの一丁目北」下車 徒歩1分
駐車場:8台
初診の方
WEB予約
電話予約
価格表