歯周病治療
歯周病について
歯周病は、歯肉の炎症から始まり、放置すると歯を支える骨まで破壊してしまう深刻な病気です。
歯周病は、成人の7割以上がかかっているといわれるお口の病気です。
歯周病は、プラーク(歯垢)に潜む歯周病菌が原因で、歯ぐきなどの炎症を引き起こす病気です。進行すると歯を支えている骨が溶け、最後には歯が抜けてしまう怖い病気です。しかも初期段階では自覚症状がなく、激しい出血や痛み、歯の揺れなど明らかな自覚症状が出る頃には、重度の歯周病になっていることも珍しくありません。
早期発見・早期治療のため、定期的な検診をおすすめします。
歯周病になる原因
歯周病の主な原因は、歯垢(プラーク)に含まれる細菌です。
これらの細菌は歯肉に炎症を引き起こし、放置すると歯周病を進行させます。
また、喫煙やストレス、糖尿病などの全身疾患、遺伝的要素も歯周病のリスクを高めることが知られています。さらに、不適切な歯磨きや歯間ブラシの使用など、口腔衛生の不備も歯周病を引き起こす要因となります。これらの原因を理解し、適切な予防と治療を行うことが重要です。
歯周病の進行過程

歯肉炎
歯ぐきが炎症をおこして腫れています
歯周病の初期段階。歯と歯ぐきの境目にプラークが溜まり、歯ぐきが炎症を起こして赤く腫れています。痛みはありませんが、歯ブラシの際に稀に出血することがあります。歯科医院で行うスケーリング(歯石の除去)と、毎日のブラッシングでプラークをしっかり除去することで、健康な状態に戻すことができます。
軽度歯周炎
歯周ポケットができ、出血もみられます
歯ぐきの炎症が進み、歯から歯肉が剥がれて歯周ポケットができます。歯ブラシの際に出血することがありますが、この時点ではまだ痛みがありません。歯科医院で行うスケーリング(歯石の除去)と、毎日のブラッシングでプラークをしっかり除去することで改善します。
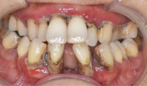
中度歯周炎
歯ぐきの奥まで歯石ができ、歯を支える骨が溶ける
歯周ポケットが深くなり、歯を支えている骨(歯槽骨)が溶け始めます。あわせて歯肉も下がるため、歯が伸びてきたように見えます。歯ぐきの出血に加え、歯が揺れる、痛みや違和感などの症状が出ることがあります。スケーリングや、ルートプレーニング(歯ぐきの中に入り込んだ歯石の除去)による治療を行います。
重度歯周炎
骨が溶け、歯がグラグラする
歯を支える骨(歯槽骨)が溶けて半分以上なくなり、歯が激しくグラグラするようになります。治療も難しくなり、歯を抜かなければならない場合もあります。溶けてしまった骨は、基本的には元に戻りません。できるだけ早く治療しましょう。
歯周病の分類
米国歯周病学会と欧州歯周病学会が中心となり2017年に歯周疾患及びインプラント周囲疾患の分類を再考するミーティングが行われました。
その中では、侵襲性歯周炎がなくなり、ステージとグレードによる分類に変更されました。
今までの米国歯周病学会での分類は病名が先行でした。今度の改正は、症状と進行によって分類されており、全身疾患との関連性に対しても対応しています。これからの、論文などの研究から変更してくる点も出てくるとは思います。日本においても、歯周病の新分類を2018年6月に発表しています。
歯周病にしないための4つのポイント
1. 正しい歯磨き
歯磨きによってプラークコントロールがある程度可能となりますので、正しい歯磨きが何よりも大切です。「磨いている」と「磨けている」とは全く別のことになります。
歯周病の根本的な原因はプラークですので、歯磨きでプラークを除去すれば歯周病を予防する事ができますが、単に強く磨いたり、長く磨いただけでは歯や歯の周りに強力に付着したプラークを完全に除去する事はできず、プラークを除去しようと強く磨いた結果、逆に歯や歯肉(歯茎)を傷つけてしまうこともありますので注意が必要です。
ではどのような歯磨き(ブラッシング)をすれば歯垢(プラーク)を確実に除去し、歯周病を予防できるのでしょうか?これは歯医者さんや歯科衛生士さんに直接、指導してもらう事が一番です。口の中、歯並びは1人1人違いますので、その人に適した歯磨きの仕方も1人1人異なるからです。
2. 物をよく噛む
物をよく噛むということは非常に大切で、噛めば噛むほど唾液が分泌され、唾液によって細菌を洗い流します。歯周病予防、虫歯予防、口臭予防に効果的となり、さらには噛むことによって満腹中枢が刺激され肥満、糖尿病予防にも繋がります。
硬い物を積極的に食べる、よく噛んで食べる習慣をつけるようにするだけでかなり効果的になりますよ。
3. バランスの取れた食生活
歯周病は糖尿病と深く関わっていますので、糖尿病になりやすいような高カロリー、高脂肪、塩分、糖類が多く含まれている食事は避け、過度のアルコール、食べすぎ、偏食も控え、バランスの取れた食生活を心がける事が何よりも大切になってきます。
『この食べ物を食べれば歯周病が治る、予防できる』といったものはなく、大切なのは「ビタミン・カルシウム・たんぱく質・炭水化物」など、栄養バランスの取れた食生活を心がけることが、心にも体にもお口の健康にも通じています。
4. タバコをやめる
たばこ(喫煙)を吸っている人は吸わない人に比べて『2~7倍』歯周病になるリスクが高いといわれており、さらにタバコは歯周病の症状を悪化させ、タバコを吸っている限り歯周病は治らないとさえ言われていますので、歯周病を予防し、完治させたいのであれば禁煙は避けて通れない道なのかもしれません。

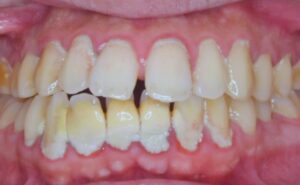
歯周病の治療方法
PMTC(プロフェッショナルクリーニング)
歯周病の治療の基本は、PMTC(プロフェッショナルクリーニング)です。PMTCは、スケーリングとルートプレーニングで、歯石とプラークの除去を行います。超音波スケーラーや手動のキュレットを使用し、歯肉の上だけでなく、歯肉の下の歯石も取り除きます。
歯周ポケットの減少
歯周ポケットが深い場合には、ポケットの深さを減少させるための治療が必要です。
これには、フラップ手術が含まれ、歯肉を一時的に持ち上げて歯石を除去し、歯肉を健康な位置に戻します。レーザー治療もポケットの深さを減少させるために使用されることがあります。
歯周組織の再生
進行した歯周病の治療に再生治療というものがあります。重度の歯周病には、以前よりエムドゲイン療法や歯周組織再生治療(GTR法)という治療法があります。
上記の治療は、自費治療や適応症が限られてしまうことが多々あります。
リグロスという薬液を使用する治療法は、成長因子を含んだ液状のものを使用する方法です。歯に薬を塗ったり注射して骨ができるのではありません。歯周外科と言われ、外科治療中に使用することにより効果を発揮します。リグロスは2017年から、一般歯科医にも使用できるようになりました。内容により、保険治療内で加療ができるため他の歯周組織再生治療より使用頻度が多くなっている感があります。
痛みがないからといって放っておくと、歯周病が進行してしまいます。これらの治療は、歯周組織の自然な再生を促進し、歯を支える能力を回復させることを目的としています。
歯周病だと言われている方も諦めないでください。悪くなってから治療すると、期間がかかり大掛かりな治療になることがあります。痛い治療が嫌な方ほど、早めの予防をおすすめします。
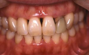
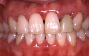
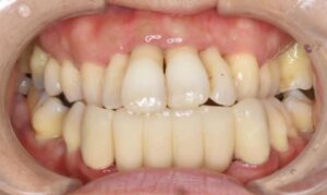
補綴治療
歯が失われた場合には、ブリッジやインプラント、部分入れ歯などの補綴治療が行われます。これらの治療は、機能的な咬合を回復し、見た目の改善を目指します。インプラント治療では、失われた歯の根を人工的に置き換え、その上に人工歯を取り付けます。
歯を失う原因の第1位は「歯周病」です。
歯周病は、歯を支える骨や歯ぐきが細菌によって壊されていく病気で、進行しても痛みが少ないため気づきにくいのが特徴です。
放っておくと歯がぐらつき、最終的には抜けてしまうこともあります。
自覚のないうちに進行して、気がついたときには歯を抜かなければならないという恐ろしい病気です。
20歳を過ぎたころから徐々に進行し、主に40歳を越えた頃から症状が出てきます。
主な症状は以下のようなものですが当てはまるものにチェックをしてください。
スコアから歯周病の危険度を測ってみましょう。
気になる方はチェックしてみてください。
□ 歯を磨くと歯ぐきから血が出たことがある。
□ 家族に歯周病の人がいる。
□ 歯並びがよくない。
□ 歯が何本かない。
□ 歯がぐらぐらする感じがする 。
□ 歯の間に食べ物がよく入る。
□ 歯の隙間が広がってきた。
□ 冷たいものがしみる。
□ 口臭がきになるときがある。
□ タバコを吸うもしくは吸っていた。
いくつ当てはまりましたか?

【スコア 0】
歯周病の問題はほとんどありません。
しかし、歯周病は進行してからの治療よりも予防が最も大切です。
定期的なクリーニングと正しいブラッシングで、今の健康な状態を維持しましょう。

【スコア 1〜3】
現在は大きな問題はありませんが、歯周病は自覚症状が少なく静かに進行する病気です。歯ぐきのチェックや歯周病の検査を行い、早めの予防ケアで安心を手に入れましょう。

【スコア 4〜7】
歯周病の疑いがあります。
ただし、この段階であれば進行を緩やかにすることが十分可能です。
歯ぐきの腫れや出血がある場合は、早めに歯周病検査を受け、正しい治療とケアを始めましょう。

【スコア 8〜10】
歯周病がかなり進行している可能性があります。放置すると歯を支える骨が減り、歯が動く・抜けるなどのリスクも高まります。
これ以上進行させないためにも、早急な歯周病の検査と専門的な治療を受けることをおすすめします。
あなたの歯周病のスコアはどうでしたか?
これはあくまで一つの指標です。
低いからと言って安心してもいけないし、高いからと言ってあきらめないでください。
これをきっかけに歯医者にいかれてはいかがでしょうか?
少しでも皆さんが歯医者に行くきっかけになればと思います。
よく聞かれる内容に、私の歯はどれくらい残っていて平均より低いか高いか気にされる方がいらっしゃいます。
次に年代別の歯の残存歯数をグラフにしたので見てください。
平均でどれくらいの歯が残っているのかご存じでしょうか?

永久歯の本数と、年齢とともに歯が減っていく理由
私たちの歯は、子どものころに乳歯が生え、成長とともに永久歯に生え変わります。永久歯は全部で28本(親知らずを除く)です。上の歯が14本、下の歯が14本で左右対称に並び、噛む・話す・笑うなど、毎日の生活を支えています。
親知らず(第三大臼歯)を含めると最大で32本になりますが、最近では生えてこない人や、スペースの関係で抜く場合も多いです。
なぜ年齢を重ねると歯が少なくなるのか?
歯そのものは非常に硬い組織ですが、歯を支えている歯ぐきや骨が弱ると、歯はだんだんと動き、最後には抜けてしまうことがあります。
その主な原因は次の通りです。
歯周病(歯槽膿漏)
歯を支える骨が溶けてしまう病気で、歯を失う最大の原因です。痛みが少なく進行するため、気づいたときにはすでに重症化していることもあります。
むし歯
神経まで進行した大きなむし歯になり歯が崩壊すると、残せないことがあります。被せ物や治療跡の隙間から再発する「二次むし歯」にも注意が必要になります。
歯ぎしり・食いしばり・かみ合わせ
知らず知らずのうちに歯や歯ぐきに過度な負担がかかることで、歯や歯の周囲にダメージを受けます。負担がかかりすぎると歯が割れることがあります。
全身の健康状態や加齢による変化
糖尿病などの全身疾患、唾液の減少、栄養状態の変化も歯の健康に影響します。

対応しなければ70代後半には、実に歯の半数以上の歯が喪失する傾向にあります。その原因として、ホームケアと定期検診による予防治療がまだ十分に普及していないことが考えられます。
歯の喪失を防ぐには何をすればいいのでしょうか?
それは次のグラフに示されています。

定期的な歯科検診を受診する成人は約5~6割(2023年時点)ですが、その中の約4割が「1年に1回以上」受診しているという調査結果があります。1年に1回以上予防されている方は、2割程度しかいないことがわかります。一方、スウェーデンのような予防歯科先進国では、定期受診率が8~9割に達しているといわれています。
そうです。
家で行うホームケアと歯科医院で行う定期的なプロフェッショナルケアが歯を残すのに必要不可欠なことがこれらからわかります。
皆さんは、歯医者に予防をしないで歯を失うようなことはしないでください。
お口の健康を取り戻すことは、生活の質を取り戻すことでもあります。
しっかり噛める・笑える・話せる、その喜びをもう一度感じていただけるよう、私たちが全力でサポートいたします。」
当院の歯周病治療のこだわり
正確な診断と最先端の機材
最小限の侵襲と快適な治療
継続的なフォローアップと予防指導
全体的な口腔内の健康への注目
一生涯健康的な歯でいるために
当院では、患者様の口腔内の健康を第一に考え、歯周病専門医のドクターが歯周病治療における最高水準の治療を提供しています。一人ひとりに合わせた治療計画と最新の機材を駆使し、患者様が安心して治療を受けられるよう努めています。また、治療後のフォローアップと予防指導により、健康な口腔環境の維持を目指します。美しく健康な笑顔を取り戻すために、当院と一緒に歯周病と向き合いましょう。