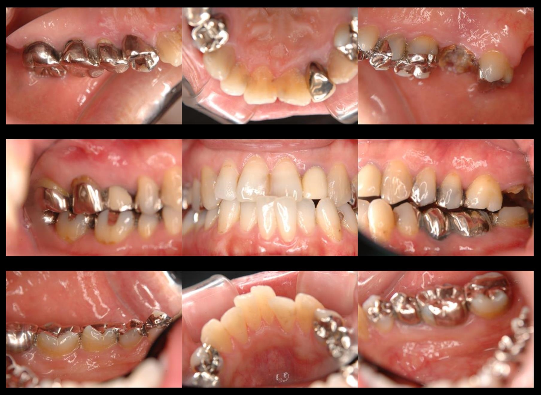
上の前歯が取れた 40代 女性 インプラント治療

Before

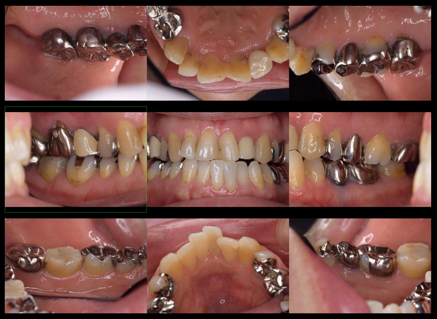
After
年齢 | 40代 | ||
---|---|---|---|
性別 | 女性 | ||
通院目的 | 右上の前歯が取れた | ||
診断 | 歯根破折 | ||
処置内容 (または主訴) |
抜歯及びインプラント埋入 | ||
通院回数 | 10回、8カ月 | ||
費用 |
|
||
リスク・副作用 |
|
年齢 | 40代 | ||
---|---|---|---|
性別 | 女性 | ||
通院目的 | 右上の前歯が取れた | ||
診断 | 歯根破折 | ||
処置内容 (または主訴) |
抜歯及びインプラント埋入 | ||
通院回数 | 10回、8カ月 | ||
費用 |
|
||
リスク・副作用 |
|