「あなたの健康な笑顔を守る、やまのうち歯科医院」
やまのうち歯科医院
ホーム
医院紹介
設備紹介
初診案内
診療案内
スタッフ紹介
アクセス
電話予約
WEB予約
症例紹介
ホーム
症例紹介
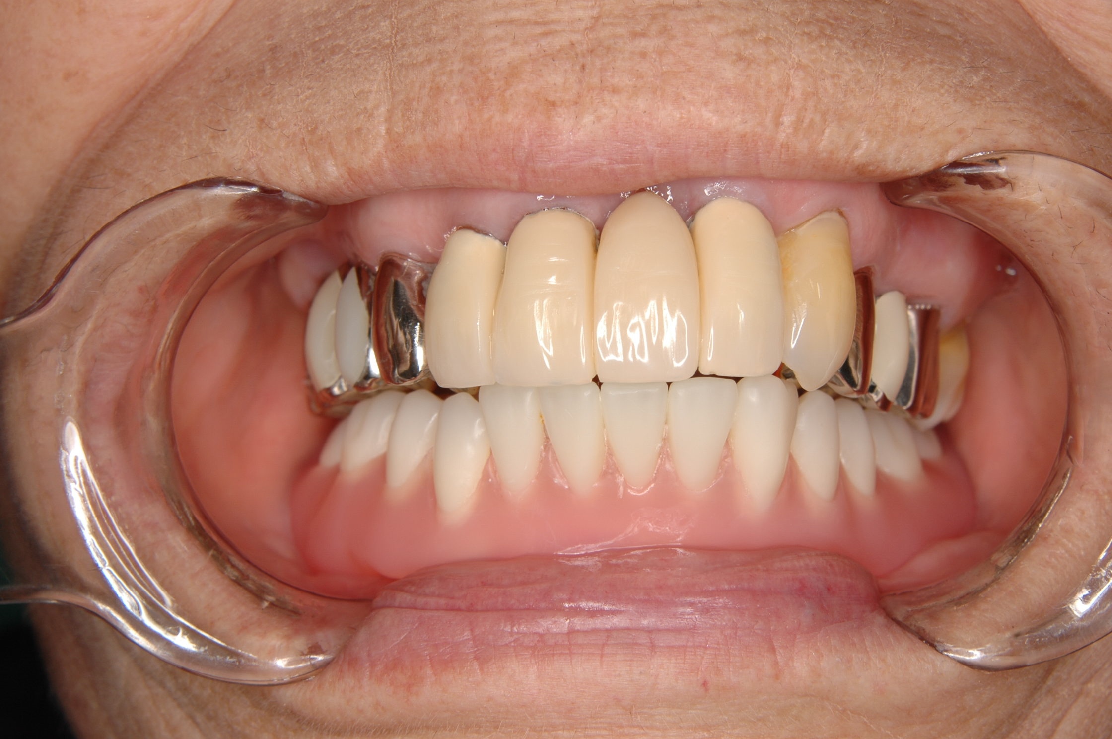
下の入れ歯が合わない 70代 女性 総入れ歯の治療
下の入れ歯が合わない 70代 女性 総入れ歯の治療
Before
After
年齢
70代
性別
女性
通院目的
下の入れ歯の治療
診断
義歯不適、歯の欠損
処置内容
総入れ歯の作成
通院回数
10回、3カ月
費用
リスク・副作用
最終義歯が入るまで、期間がかかります。セット後も何度か調整を行います。また、お口になじむまで時間がかかります。
本症例は、保険治療で行っていますので、使用する材料は決まっております。
長期間維持するには、ホームケアと歯科医院で行う定期的なプロフェッショナルケアが必要になります。
Prev
一覧へ戻る
Next
関連記事
入れ歯
審美・補綴歯科
2025年05月09日
歯がないところの治療 50代 女性 ノンクラスプ入れ歯の症例
詳細を見る
一般治療
入れ歯
審美・補綴歯科
2025年02月28日
入れ歯のバネが気になる 40代 女性 ノンクラスプ義歯
詳細を見る
カテゴリから探す
すべて
やまのうち歯科医院
インプラント治療
ホワイトニング
ラミネートべニア
一般治療
入れ歯
口膣外科
宇都宮
審美・補綴歯科
歯医者
歯周病
歯牙移植
歯肉移植
歯肉退縮
矯正歯科
部分矯正
やまのうち歯科医院
〒321-0156
栃木県宇都宮市兵庫塚町9-1
プレステージみどり野1F
028-612-8660
診療時間
月
火
水
木
金
土
日
祝
9:00 - 12:00
●
●
●
/
●
●
/
/
14:00 - 19:00
●
●
●
/
●
▲
/
/
【休診日】木曜、日曜、祝日
※祝日の週の木曜日は診療
▲
= 14:00 - 17:00
アクセス
安塚街道のヨークベニマル、しまむらが目印
JR雀宮駅・東武西川田駅よりバス
みやバス系統さつき団地 雀宮駅~さつき団地~西川田駅東口
「みどりの一丁目北」下車 徒歩1分
駐車場:8台
初診の方
WEB予約
電話予約
価格表