「あなたの健康な笑顔を守る、やまのうち歯科医院」
やまのうち歯科医院
ホーム
医院紹介
設備紹介
初診案内
診療案内
スタッフ紹介
アクセス
電話予約
WEB予約
症例紹介
ホーム
症例紹介
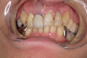
被せ物が割れた 40代 男性 ハイブリッド
被せ物が割れた 40代 男性 ハイブリッド
Before
After
年齢
40代
性別
男性
通院目的
歯の色が気になる
診断
不良補綴物
処置内容
ハイブリッドセラミック
通院回数
3回
費用
治療費用
55000円
リスク・副作用
神経がある場合しみることがあります。
歯ぎしりや食いしばりが強い方は、脱離や破折になりやすくなります。
ジルコニアやセラミックに比べて変色や強度がやや下がります。
Prev
一覧へ戻る
Next
関連記事
審美・補綴歯科
2025年12月05日
前歯の色が気になる 20代 女性 ジルコニアクラウンの症例
詳細を見る
ラミネートべニア
審美・補綴歯科
歯周病
2025年11月14日
前歯の色が気になる 20代 男性 ラミネートべニアの症例
詳細を見る
審美・補綴歯科
2025年09月27日
奥歯が抜けた 50代 女性 ジルコニアブリッジの症例
詳細を見る
カテゴリから探す
すべて
インプラント治療
ホワイトニング
ラミネートべニア
一般治療
入れ歯
口膣外科
審美・補綴歯科
歯周病
歯牙移植
歯肉移植
歯肉退縮
矯正歯科
やまのうち歯科医院
〒321-0156
栃木県宇都宮市兵庫塚町9-1
プレステージみどり野1F
028-612-8660
診療時間
月
火
水
木
金
土
日
祝
9:00 - 12:00
●
●
●
/
●
●
/
/
14:00 - 19:00
●
●
●
/
●
▲
/
/
【休診日】木曜、日曜、祝日
※祝日の週の木曜日は診療
▲
= 14:00 - 17:00
アクセス
安塚街道のヨークベニマル、しまむらが目印
JR雀宮駅・東武西川田駅よりバス
みやバス系統さつき団地 雀宮駅~さつき団地~西川田駅東口
「みどりの一丁目北」下車 徒歩1分
駐車場:8台
初診の方
WEB予約
電話予約
価格表