「あなたの健康な笑顔を守る、やまのうち歯科医院」
やまのうち歯科医院
ホーム
医院紹介
設備紹介
初診案内
診療案内
スタッフ紹介
アクセス
電話予約
WEB予約
症例紹介
ホーム
症例紹介
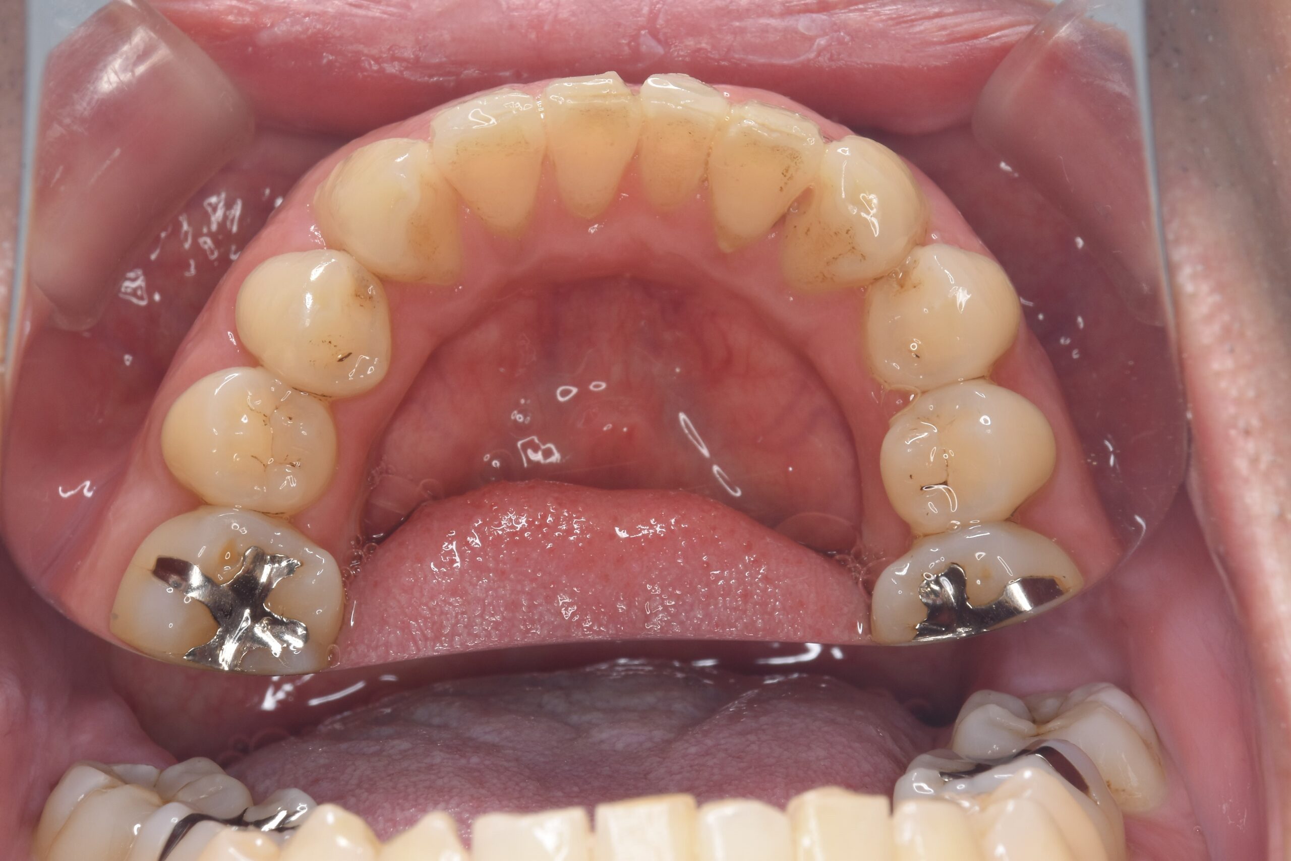
下の歯並びが気になる 30代 男性 部分矯正
下の歯並びが気になる 30代 男性 部分矯正
Before
After
年齢
30代
性別
男性
通院目的
歯並び
診断
歯列不正
処置内容
部分矯正
通院回数
12回
期間
6カ月
費用
治療費用
14万5500円
上の矯正で10万(税込み11万)
リテーナー代5000円(税込み5500円)
調整料(月1回5000円)を6カ月
リスク・副作用
治療中歯を動かすので、痛みを生じることがあります。
また、治療中は磨きにくいので、気を付けて磨かないと虫歯や歯周病になります。
リテーナーを使用しないと、後戻りと言って歯が動く可能性があります。
Prev
一覧へ戻る
Next
関連記事
宇都宮
歯医者
歯周病
矯正歯科
部分矯正
2026年04月20日
上下の歯並びが気になる 40代 女性 部分矯正
矯正中
詳細を見る
やまのうち歯科医院
宇都宮
歯医者
歯周病
矯正歯科
2026年03月28日
歯並びが気になる 20代 女性 部分矯正
矯正中
詳細を見る
やまのうち歯科医院
歯周病
矯正歯科
部分矯正
2026年02月09日
歯並びが気になる 30代 女性 部分矯正
詳細を見る
カテゴリから探す
すべて
やまのうち歯科医院
インプラント治療
ホワイトニング
ラミネートべニア
一般治療
入れ歯
口膣外科
宇都宮
審美・補綴歯科
歯医者
歯周病
歯牙移植
歯肉移植
歯肉退縮
矯正歯科
部分矯正
やまのうち歯科医院
〒321-0156
栃木県宇都宮市兵庫塚町9-1
プレステージみどり野1F
028-612-8660
診療時間
月
火
水
木
金
土
日
祝
9:00 - 12:00
●
●
●
/
●
●
/
/
14:00 - 19:00
●
●
●
/
●
▲
/
/
【休診日】木曜、日曜、祝日
※祝日の週の木曜日は診療
▲
= 14:00 - 17:00
アクセス
安塚街道のヨークベニマル、しまむらが目印
JR雀宮駅・東武西川田駅よりバス
みやバス系統さつき団地 雀宮駅~さつき団地~西川田駅東口
「みどりの一丁目北」下車 徒歩1分
駐車場:8台
初診の方
WEB予約
電話予約
価格表