「あなたの健康な笑顔を守る、やまのうち歯科医院」
やまのうち歯科医院
ホーム
医院紹介
設備紹介
初診案内
診療案内
スタッフ紹介
アクセス
電話予約
WEB予約
症例紹介
ホーム
症例紹介
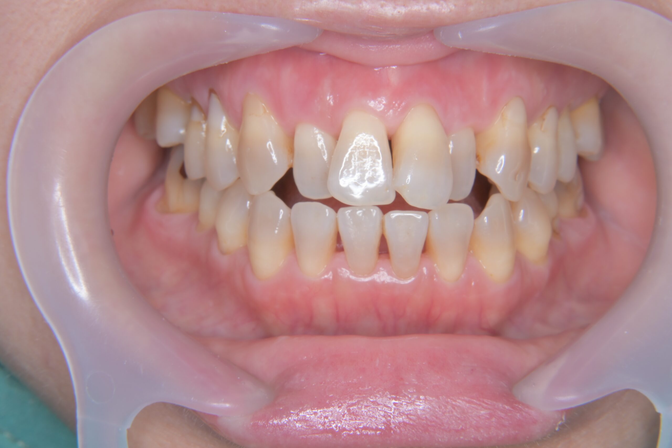
歯の色が気になる 40代 女性 ホワイトニング オフィスホワイトニング症例
歯の色が気になる 40代 女性 ホワイトニング オフィスホワイトニング症例
Before
After
年齢
40代
性別
女性
通院目的
歯の色が気になる
診断
歯の変色
処置内容
ホワイトニング オフィスホワイトニング
通院回数
1回(90分)
費用
治療費用
上下 33000円(税込み)
リスク・副作用
歯は白くなりますが、思った色になるわけではありません。治療中痛みが出ることがあります。長期間維持するには、ホームケアと歯科医院で行う定期的なプロフェッショナルケアが必要になります。しばらくすると経時的変化により再度色が変化することがあります。被せ物は変わりません。
Prev
一覧へ戻る
Next
関連記事
やまのうち歯科医院
ホワイトニング
2026年04月27日
歯の色が気になる 30代 女性 ホワイトニング 症例
ウォーキングブリーチ後
詳細を見る
ホワイトニング
2026年04月07日
歯の色が気になる 30代 女性 ホワイトニング オフィスホワイトニング症例
詳細を見る
ホワイトニング
2026年03月23日
歯の色が気になる 30代 女性 ホワイトニングの症例
詳細を見る
カテゴリから探す
すべて
やまのうち歯科医院
インプラント治療
ホワイトニング
ラミネートべニア
一般治療
入れ歯
口膣外科
宇都宮
審美・補綴歯科
歯医者
歯周病
歯牙移植
歯肉移植
歯肉退縮
矯正歯科
部分矯正
やまのうち歯科医院
〒321-0156
栃木県宇都宮市兵庫塚町9-1
プレステージみどり野1F
028-612-8660
診療時間
月
火
水
木
金
土
日
祝
9:00 - 12:00
●
●
●
/
●
●
/
/
14:00 - 19:00
●
●
●
/
●
▲
/
/
【休診日】木曜、日曜、祝日
※祝日の週の木曜日は診療
▲
= 14:00 - 17:00
アクセス
安塚街道のヨークベニマル、しまむらが目印
JR雀宮駅・東武西川田駅よりバス
みやバス系統さつき団地 雀宮駅~さつき団地~西川田駅東口
「みどりの一丁目北」下車 徒歩1分
駐車場:8台
初診の方
WEB予約
電話予約
価格表