「あなたの健康な笑顔を守る、やまのうち歯科医院」
やまのうち歯科医院
ホーム
医院紹介
設備紹介
初診案内
診療案内
スタッフ紹介
アクセス
電話予約
WEB予約
症例紹介
ホーム
症例紹介
歯周病
2025年04月08日
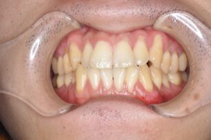
歯がぐらぐらする 50代 女性 歯周病治療
詳細を見る
審美・補綴歯科
歯周病
歯肉退縮
2025年04月02日
奥歯の歯茎が下がって歯がしみる 20代 男性 歯肉移植
詳細を見る
インプラント治療
2025年04月01日
左上の奥歯が噛めない 50代 女性 インプラント治療
詳細を見る
歯周病
2025年03月31日
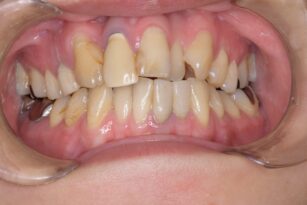
歯周病といわれた 50代 男性 歯周病治療
詳細を見る
ホワイトニング
2025年03月29日
歯の色が気になる 40代 女性 ホワイトニング ウォーキングブリーチ症例
詳細を見る
矯正歯科
2025年03月24日
歯並びが気になる 10代 男性 部分矯正
詳細を見る
歯周病
矯正歯科
2025年03月21日
歯並びが気になる 30代 女性 部分矯正
詳細を見る
ホワイトニング
審美・補綴歯科
2025年03月19日
歯の色が気になる 30代 女性 ホワイトニング ウォーキングブリーチ症例
詳細を見る
インプラント治療
審美・補綴歯科
2025年03月18日
右下の奥歯がない 50代 男性 インプラント治療
詳細を見る
...
8
9
10
11
12
...
カテゴリから探す
すべて
やまのうち歯科医院
インプラント治療
ホワイトニング
ラミネートべニア
一般治療
入れ歯
口膣外科
宇都宮
審美・補綴歯科
歯医者
歯周病
歯牙移植
歯肉移植
歯肉退縮
矯正歯科
部分矯正
やまのうち歯科医院
〒321-0156
栃木県宇都宮市兵庫塚町9-1
プレステージみどり野1F
028-612-8660
診療時間
月
火
水
木
金
土
日
祝
9:00 - 12:00
●
●
●
/
●
●
/
/
14:00 - 19:00
●
●
●
/
●
▲
/
/
【休診日】木曜、日曜、祝日
※祝日の週の木曜日は診療
▲
= 14:00 - 17:00
アクセス
安塚街道のヨークベニマル、しまむらが目印
JR雀宮駅・東武西川田駅よりバス
みやバス系統さつき団地 雀宮駅~さつき団地~西川田駅東口
「みどりの一丁目北」下車 徒歩1分
駐車場:8台
初診の方
WEB予約
電話予約
価格表