「あなたの健康な笑顔を守る、やまのうち歯科医院」
やまのうち歯科医院
ホーム
医院紹介
設備紹介
初診案内
診療案内
スタッフ紹介
アクセス
電話予約
WEB予約
症例紹介
ホーム
症例紹介
歯周病
2025年05月17日
歯がぐらぐらする 30代 女性 歯周病治療
詳細を見る
歯周病
歯肉移植
2025年05月14日
下の前歯が下がってきた 30代 女性 歯肉移植
詳細を見る
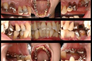
入れ歯
審美・補綴歯科
2025年05月09日
歯がないところの治療 50代 女性 ノンクラスプ入れ歯の症例
詳細を見る
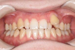
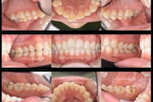
矯正歯科
2025年05月08日
歯並びが気になる 10代 女性 部分矯正
詳細を見る
インプラント治療
2025年05月07日
噛むところがない 50代 男性 インプラント治療の症例
詳細を見る
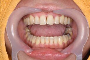
ホワイトニング
2025年05月02日
歯の色が気になる 30代 女性 ホワイトニング治療 オフィスホワイトニング
詳細を見る
歯牙移植
2025年05月02日
被せ物が取れた 40代 男性 歯牙移植
詳細を見る
歯周病
2025年05月01日
歯がぐらぐらする 50代 男性 歯周病治療
詳細を見る
審美・補綴歯科
2025年04月30日
金属が気になる 30代 女性 セラミックインレーの症例
詳細を見る
...
6
7
8
9
10
...
カテゴリから探す
すべて
やまのうち歯科医院
インプラント治療
ホワイトニング
ラミネートべニア
一般治療
入れ歯
口膣外科
宇都宮
審美・補綴歯科
歯医者
歯周病
歯牙移植
歯肉移植
歯肉退縮
矯正歯科
部分矯正
やまのうち歯科医院
〒321-0156
栃木県宇都宮市兵庫塚町9-1
プレステージみどり野1F
028-612-8660
診療時間
月
火
水
木
金
土
日
祝
9:00 - 12:00
●
●
●
/
●
●
/
/
14:00 - 19:00
●
●
●
/
●
▲
/
/
【休診日】木曜、日曜、祝日
※祝日の週の木曜日は診療
▲
= 14:00 - 17:00
アクセス
安塚街道のヨークベニマル、しまむらが目印
JR雀宮駅・東武西川田駅よりバス
みやバス系統さつき団地 雀宮駅~さつき団地~西川田駅東口
「みどりの一丁目北」下車 徒歩1分
駐車場:8台
初診の方
WEB予約
電話予約
価格表